티스토리 뷰
목차

폐경기는 여성의 생리적 변화로 인해 누구나 겪을 수 있는 자연스러운 현상입니다. 그러나 뇌수막종처럼 초기 증상이 비슷한 질환이 존재하여 많은 분들이 혼동하곤 합니다. 실제로 영국의 한 여성은 두통, 턱의 통증, 불안, 극심한 피로등으로 병원을 찾았지만, 이관기 기능장애와 폐경이행기로 인한 일시적인 현상이란 진단으로 정밀한 신경학적 검진을 받지 않고, 이후에 전신경련으로 쓰러진 후 CT촬영을 통해 "뇌수막종"진단을 받고 수술했다는 기사를 본 적이 있습니다. 폐경기와 뇌수막종의 증상, 원인, 예방법, 치료법 등을 비교하여 어떻게 구분할 수 있는지 자세히 알아보겠습니다.
폐경기 증상과 그 원인
폐경기는 여성의 생식 기능이 감소하면서 더 이상 월경이 발생하지 않는 상태를 의미합니다. 일반적으로 45세에서 55세 사이의 여성에게 나타나며, 생리 주기가 불규칙해지다가 12개월 이상 생리가 없을 경우 폐경으로 판단됩니다. 폐경은 자연스러운 생리적 변화이지만, 그 과정에서 다양한 신체적, 정신적 증상이 동반될 수 있습니다. 폐경의 대표적인 증상으로는 안면홍조, 식은땀, 심한 피로감, 두통, 불면증, 감정 기복, 우울감, 기억력 저하 등이 있으며, 성욕 감소와 질 건조감도 자주 보고됩니다. 이와 같은 증상은 여성 호르몬인 에스트로겐의 급격한 감소로 인해 발생하는 것으로 알려져 있습니다. 에스트로겐은 여성의 신체를 조절하는 데 중요한 역할을 하며, 심혈관 건강, 골밀도 유지, 감정 조절에도 영향을 줍니다. 폐경 초기에는 자신이 폐경에 접어들었는지조차 인식하지 못하는 경우가 많습니다. 단순히 피로하거나 스트레스를 받았다고 생각하여 지나치기 쉬운데, 이런 점에서 뇌수막종과 혼동되는 일이 종종 발생합니다. 폐경기 증상은 반복적이며, 하루 중에도 증상의 강도가 변화하기 때문에 일관되지 않은 변화가 오히려 더 혼란을 줄 수 있습니다. 가족력이 있는 경우 폐경 시기가 앞당겨질 수 있으며, 흡연이나 스트레스, 특정 질환 등이 조기 폐경의 위험 요인이 되기도 합니다. 폐경이 단순한 생리적 변화로 끝나는 것이 아니라, 골다공증, 심혈관 질환 등의 위험을 증가시키는 요인이 되기 때문에 정확한 이해와 준비가 필요합니다. 생활 습관 개선이나 식단 조절, 운동, 호르몬 대체 요법 등을 통해 폐경기 증상을 완화할 수 있으며, 정기적인 건강 검진을 통해 동반 질환에 대한 대비도 중요합니다. 폐경은 끝이 아닌 또 다른 시작이라는 인식과 함께 몸과 마음을 돌보는 노력이 필요하겠습니다.
뇌수막종 증상과 원인
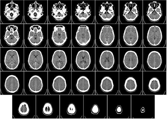
뇌수막종은 뇌를 감싸고 있는 막, 즉 수막에서 발생하는 종양을 의미합니다. 대부분은 양성이지만, 위치와 크기에 따라 다양한 신경학적 증상을 유발할 수 있기 때문에 조기 발견이 중요합니다. 폐경기 증상과 비슷한 양상의 증상을 보이는 경우가 있어 진단이 늦어질 수 있습니다. 뇌수막종의 주요 증상은 두통, 어지럼증, 시야 흐림, 청력 저하, 기억력 감퇴, 성격 변화, 경련 등입니다. 이 중에서도 두통과 어지럼증, 집중력 저하는 폐경기 증상과 매우 흡사하게 나타나 혼동을 일으킬 수 있습니다. 그러나 뇌수막종의 경우 이러한 증상이 점진적으로 악화되거나 지속적이고 한쪽 신체에 국한된 증상이 나타날 수 있어 폐경기와는 구별되는 부분입니다. 뇌수막종의 원인은 아직 명확하게 밝혀지지는 않았지만, 방사선 노출, 유전적 요인, 여성 호르몬과의 연관성 등이 제기되고 있습니다. 실제로 여성에게 더 자주 발생하는 것으로 알려져 있으며, 폐경기 전후 여성에게 진단되는 사례가 증가하고 있는 추세입니다. 이는 뇌수막종 세포가 에스트로겐이나 프로게스테론 수용체에 반응하기 때문으로 해석되고 있습니다. 이 종양은 성장 속도가 느린 경우가 많아 초기에 발견되기 어렵고, 무증상으로 오랜 기간 동안 존재할 수 있습니다. 하지만 종양이 크기를 키우게 되면 뇌압 상승, 신경 압박 등으로 인해 증상이 분명해지기 시작합니다. 두통이 계속되고 진통제로도 완화되지 않거나, 일상적인 기억력이 심하게 떨어지고, 행동이 변하는 등의 이상 증상이 지속된다면 조속한 검사가 필요합니다. 진단은 MRI, CT 등 영상 검사로 가능하며, 종양의 위치와 크기에 따라 치료 방법이 결정됩니다. 수술적 제거가 일반적이나, 고령이거나 위험한 위치일 경우 감시 또는 방사선 치료가 병행되기도 합니다. 최근에는 감마나이프 등의 정밀 방사선 기술로 비침습적 치료도 가능해졌습니다. 건강검진 시 뇌 MRI를 정기적으로 받는 것이 예방 차원에서 도움이 되며, 가족력이나 반복적인 신경학적 증상이 있는 경우에는 보다 면밀한 관찰이 필요합니다.
폐경기와 뇌수막종, 어떻게 구분할까?
폐경기와 뇌수막종은 일부 증상이 겹치기 때문에 많은 분들이 혼동하는 경우가 있습니다. 하지만 두 질환은 원인부터 치료법까지 매우 다르므로, 증상을 꼼꼼히 관찰하고 차이를 인식하는 것이 중요합니다. 폐경기의 경우 증상이 일시적이고 호르몬 변화에 따른 전신적 변화로 나타나며, 대부분 증상이 반복적이거나 가볍게 지나갑니다. 반면 뇌수막종은 종양의 크기나 위치에 따라 신경계 증상이 점점 심화되는 양상을 보입니다. 예를 들어 폐경으로 인한 두통은 간헐적으로 나타나는 반면, 뇌수막종으로 인한 두통은 한쪽에 국한되거나 점점 심해지고, 수면 중 깨거나 아침에 더욱 심해지는 특징이 있습니다. 기억력 저하나 집중력 저하도 두 질환 모두에서 나타날 수 있지만, 뇌수막종은 이 외에도 성격 변화, 시력 저하, 청력 손실 등 명확한 신경계 증상을 동반할 가능성이 높습니다. 또한 폐경기는 일반적인 혈액검사와 호르몬 수치 검사를 통해 진단할 수 있으며, 뇌수막종은 영상 검사를 통해서만 정확한 진단이 가능합니다. 두 질환의 공통점은 여성, 중년 이후 여성에게서 더 자주 나타난다는 점입니다. 그렇기 때문에 증상이 비슷하다고 판단하여 자가진단만으로 결론을 내리는 것은 위험합니다. 만약 폐경 증상이라고 여겨졌던 현상이 시간이 지나도 호전되지 않거나 악화된다면 반드시 뇌신경과 전문의의 진료를 받아보시기를 권장드립니다. 예방법 또한 다릅니다. 폐경은 생활습관 개선, 호르몬 요법 등을 통해 증상을 완화할 수 있고, 뇌수막종은 정기적인 뇌 검진과 조기 진단이 중요합니다. 폐경기 여성의 경우 자신에게 나타나는 증상이 단순한 노화나 생리적 변화로 치부되기 쉽기 때문에 스스로 몸 상태를 점검하는 자세가 무엇보다 중요합니다. 요약하자면, 폐경기와 뇌수막종은 증상의 일부가 유사하지만 경과, 원인, 진단법에서 뚜렷한 차이를 보입니다. 자신의 증상이 어떤 질환에 가까운지를 스스로 점검하고, 필요시 정확한 진단을 받는 것이 건강을 지키는 최선의 방법입니다.
폐경기와 뇌수막종은 겉보기에는 유사한 증상으로 나타날 수 있으나, 본질적으로 매우 다른 질환입니다. 자신의 몸에 나타나는 변화가 일시적인 생리적 현상인지, 아니면 심각한 신경학적 문제인지를 조기에 인식하고 필요한 검사를 받는 것이 건강을 지키는 첫걸음이 될 수 있습니다.
증상이 비슷해 혼돈하기 쉬운 질환이 정말 무섭습니다. 더군다나 두 질환 중 하나는 굉장히 치명적인 질환으로 혼돈 시에는 더욱 위험이 큽니다. 무심코 지나치기 쉬운 증상일수록 더 꼼꼼하게 살펴보시기를 바랍니다.